Varifrån kommer orden? – Etymologi
Har du koll på varför vi säger som vi gör? Många av de ...
Har du koll på varför vi säger som vi gör? Många av de ...
Tuberkulos (tbc) är en av de vanligaste infektionssjukd...
Upptäckten och framställningen av penicillin, den idag ...
Asklepios var läkekonstens gud i det antika Grekland oc...
Det sker runt 70 000 benbrott efter fall, per år i Sver...
Från urminnes tid hade man sökt och provat ett antal åt...
Tack vare insulinets upptäckt har det räddat och förlän...
Florence Nightingale var en av pionjärerna för modern s...
Claudius Galenos, 130–201, grekisk – romersk läkare frå...
Lär dig mer om blodtrycket, orsaker till högt blodtryck...
Hur har synen på depression förändrats genom tiderna, h...
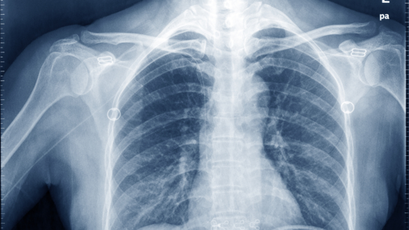
Upptäckten av röntgenstrålarna år 1895 var troligtvis e...
Historien om Ignaz Semmelweis (1818-1865) är ett av de ...
Marie Curie 1867- 1934, en av tidernas mest berömda for...
1500-talet innebar en vetenskaplig revolution då man lä...
Än idag lever många principer från den gamla grekiska l...
Feber ska inte uppfattas som ett sjukdomstillstånd i si...
Tiotusentals personer vårdas varje år på hjärtintensiva...